Conexiant
Login
  • Corneal Physician
  • Glaucoma Physician
  • New Retinal Physician
  • Ophthalmology Management
  • Ophthalmic Professional
  • Presbyopia Physician
  • Retinal Physician
The Ophthalmologist
  • Explore

    Explore

    • Latest
    • Insights
    • Case Studies
    • Opinion & Personal Narratives
    • Research & Innovations
    • Product Profiles

    Featured Topics

    • Anterior Segment
    • Glaucoma
    • Retina

    Issues

    • Latest Issue
    • Archive
  • Subspecialties
    • Cataract
    • Cornea
    • Glaucoma
    • Neuro-ophthalmology
    • Oculoplastics
    • Optometry
    • Pediatric
    • Retina
  • Business

    Business & Profession

    • Professional Development
    • Business and Entrepreneurship
    • Practice Management
    • Health Economics & Policy
  • Training & Education

    Career Development

    • Professional Development
    • Career Pathways

    Events

    • Webinars
    • Live Events
  • Events
    • Live Events
    • Webinars
  • Community

    People & Profiles

    • Power List
    • Voices in the Community
    • Authors & Contributors
  • Multimedia
    • Video
Subscribe
Subscribe

False

Advertisement
The Ophthalmologist / Issues / 2025 / November / Multimodal Imaging for MacTel
Retina Insights Opinions

Multimodal Imaging for MacTel

Employing multimodal imaging for the early detection of macular telangiectasia

By Eleonora M. Lad 11/19/2025 5 min read

Share


Eleonora M. Lad
In my practice at Duke Eye Center, I have witnessed a remarkable transformation in our understanding of macular telangiectasia (MacTel). What was once considered a rare vascular condition affecting approximately 0.1% of the general population is now recognized as a potentially more common neurodegenerative disease involving Müller cell glia and photoreceptors (1, 2).

This conceptual shift has profound implications for how we approach MacTel, and the importance of early detection and accurate disease monitoring has never been greater. However, the early signs of MacTel are subtle and easily misdiagnosed during routine examination, often mimicking diabetic retinopathy, cystoid macular edema (CME), and other common macular conditions (3).

In this article, I will describe the imaging findings that are most helpful for early detection of MacTel, highlight how each modality contributes unique insights, and share how multimodal imaging has transformed and will continue to advance the diagnosis and management of this disease.

Early signs of MacTel are easy to miss

Most patients I encounter with MacTel arrive through referrals from general ophthalmologists or non-retina subspecialists who have noticed subtle macular changes they cannot definitively characterize. This referral pattern highlights the reality that MacTel is relatively easy to overlook during routine examination.

At initial presentation, patients typically have few or no symptoms despite ongoing disease progression. Clinical findings at this stage are subtle and easily missed — slight retinal graying or a faint opacity temporal to the fovea (4). Occasionally, right-angled venules or small crystalline deposits can provide additional clues (5). Many patients also present with type 2 diabetes mellitus and metabolic syndrome, conditions that can mask or confound the diagnostic process.

Given these challenges, multimodal imaging becomes not just helpful but essential. Each imaging modality reveals a different aspect of MacTel pathophysiology, and their combination transforms a difficult diagnosis into a much more straightforward one.

Building the diagnostic picture with multimodal imaging

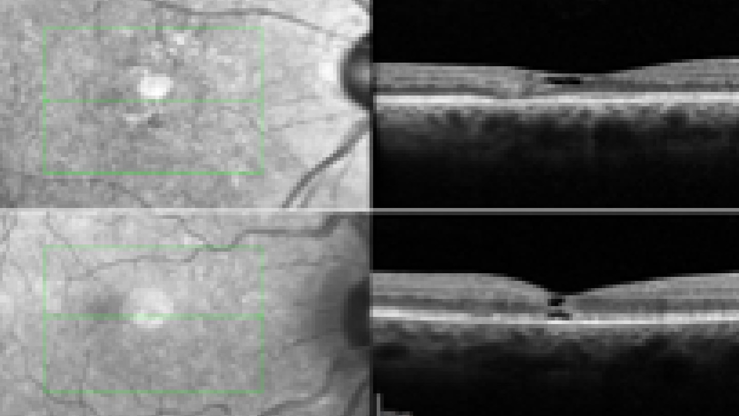
In my practice, spectral-domain optical coherence tomography (SD-OCT) serves as the cornerstone diagnostic tool for MacTel. Whether performed before referral or as my first confirmatory step, SD-OCT reveals the disease’s most characteristic early finding: cavitation within the ellipsoid zone (EZ) (Figure 1) (6, 7). This photoreceptor integrity loss, typically temporal to the fovea, manifests as a spectrum ranging from subtle disruption in early disease to pronounced cavitations in advanced cases.

OCT features of MacTel. (A) Focal ellipsoid zone (EZ) discontinuity with outer retinal loss and inner retinal disorganization, sparing foveal center. (B) EZ discontinuity with low-reflective spaces in outer and inner retina, plus hyperreflective external limiting membrane. Reproduced from Chew et al. 2023;3(2):100261.

The true value of OCT extends beyond mere visualization. Clinical trials have demonstrated a nearly one-to-one correlation between areas of photoreceptor loss on OCT and scotomas on microperimetry (8). This strong structure-function relationship provides confidence that what we observe on imaging translates directly to meaningful visual function changes.

While OCT provides the structural detail, fundus autofluorescence (FAF) offers further diagnostic clarity. In early disease stages, a hyperautofluorescent wedge-shaped pattern temporal to the fovea is highly suggestive of MacTel (Figure 2) (7, 9). I find FAF particularly valuable for two purposes: confirming the diagnosis when OCT findings are subtle, and tracking disease progression over time as hyperautofluorescent areas expand.

A. FAF in MacTel, showing clear temporal wedge of increased autofluorescence. Magnified central features in (A) are shown in (B). Green arrow in (B) indicates the presence of right-angle vein. Reproduced from Chew et al. 2023;3(2):100261.

B. FAF in MacTel, showing clear temporal wedge of increased autofluorescence. Magnified central features in (A) are shown in (B). Green arrow in (B) indicates the presence of right-angle vein. Reproduced from Chew et al. 2023;3(2):100261.
Fluorescein angiography (FA) serves as another valuable diagnostic tool, particularly for detecting baseline temporal foveal leakage and the presence of choroidal neovascularization (CNV) (Figure 3) (2, 7). In my practice, FA helps not only confirm the diagnosis but also exclude alternative causes of macular pathology.

Finally, although not routinely integrated into my workflow, OCT angiography (OCT-A) can provide exceptional visualization of the hallmark telangiectatic vessels and right-angled venules (10, 11). These right-angle venules represent a three-dimensional finding that appears as vessels oriented perpendicular to the plane of view on fundus examination. In practices where OCT-A is readily available, this modality can further strengthen the diagnostic confidence.

Beyond detection, multimodal imaging enables monitoring of disease progression over time. In my practice, OCT remains my standard tool at every follow-up visit, while FAF and FA are useful at baseline and periodically thereafter to capture disease evolution.

Late phase MacTel fluorescein angiogram showing dye leakage. Reproduced from Chew et al. 2023; 3(2): 100261.

Next steps in MacTel

Despite our sophisticated imaging capabilities, a critical gap remains in our lack of readily accessible tools to quantify disease progression in practice. The primary endpoint in clinical trials — EZ area loss — currently lacks a straightforward quantitative measurement tool like OCT devices in clinics, which hampers our ability to monitor disease change in meaningful ways. What we urgently need are automated systems that provide both qualitative mapping and quantitative metrics that we can display to patients, such as a color-coded map of the retina along with numerical readouts that would enable us to demonstrate the rate of their disease progression in a comprehensible manner.

Looking further ahead, I envision artificial intelligence (AI) algorithms that leverage clinical trial databases to predict functional outcomes from structural findings. These tools could generate reports demonstrating how patients’ scotomas may or may not be progressing, and would represent a powerful advance in our ability to demonstrate the effects of this insidious disease on patients.

Conclusion

For general ophthalmologists, the key message is clear: when you encounter temporal juxtafoveal changes, consider MacTel and refer for specialized imaging evaluation. The subtle early signs that might be missed on routine examination can be definitively characterized through multimodal imaging.

As we enter this new era of care, our imaging techniques must evolve to meet the challenges of monitoring gradual disease progression. The future belongs to quantitative, AI-enhanced imaging platforms that can demonstrate disease changes in ways that are meaningful to both clinicians and patients.

Disclosure: Through Duke University, Dr. Lad received research funding from Neurotech.  

References

  1. R Klein et al., “The prevalence of macular telangiectasia type 2 (MT2) in the Beaver Dam Eye Study,” Am J Ophthalmol., 150, 55 (2010). PMID: 20609708.
  2. KC Kedarisetti et al., “Macular telangiectasia type 2: a comprehensive review,” Clin Ophthalmol Auckl NZ, 16, 3297 (2022). PMID: 36237488.
  3. P Jayasri, AM Stephen, “A complete clinical review of idiopathic macular telangiectasia,” Oman J Ophthalmol., 16, 421 (2023). PMID: 38059108.
  4. P Charbel Issa et al., “Very early disease manifestations of macular telangiectasia type 2,” Retina, 36, 524 (2016). PMID: 26618805.
  5. JD Gass, BA Blodi, “Idiopathic juxtafoveolar retinal telangiectasis,” Ophthalmology, 100, 1536 (1993). PMID: 7082207.
  6. CX Cai et al., “Retinal cavitations in macular telangiectasia type 2 (MacTel): longitudinal structure-function correlations,” Br J Ophthalmol., 105, 109 (2021). PMID: 32152145.
  7. EY Chew et al., “Macular telangiectasia type 2: a classification system using multimodal imaging MacTel Project report number 10,” Ophthalmol Sci., 3, 100261 (2023). PMID: 36846105.
  8. D Mukherjee et al., “Correlation between macular integrity assessment and optical coherence tomography imaging of ellipsoid zone in macular telangiectasia type 2,” Invest Ophthalmol Vis Sci., 58, 6 (2017). PMID: 28973315.
  9. L Pauleikhoff et al., “Fundus autofluorescence imaging in macular telangiectasia type 2: MacTel Study report number 9,” Am J Ophthalmol., 228, 27 (2021). PMID: 33775659.
  10. S Tzaridis et al., “Right-angled vessels in macular telangiectasia type 2,” Br J Ophthalmol., 105, 1289 (2021). PMID: 30808615.
  11. J Moir et al., “Use of OCT angiography to diagnose and manage atypical presentations of macular telangiectasia type 2,” Int J Mol Sci., 23, 7849 (2022). PMID: 35887197.

About the Author(s)

Eleonora M. Lad

Eleonora Lad, MD, PhD is Professor of Ophthalmology and Vice Chair for Ophthalmology Clinical Research at Duke University Medical Center in Durham, NC, where she practices in the Vitreoretinal Disease division.

More Articles by Eleonora M. Lad

Related Content

Newsletters

Receive the latest Ophthalmology news, personalities, education, and career development – weekly to your inbox.

Newsletter Signup Image

False

Advertisement

False

Advertisement

Explore More in Ophthalmology

Dive deeper into the world of Ophthalmology. Explore the latest articles, case studies, expert insights, and groundbreaking research.

False

Advertisement
The Ophthalmologist
Subscribe

About

  • About Us
  • Work at Conexiant Europe
  • Terms and Conditions
  • Privacy Policy
  • Advertise With Us
  • Contact Us

Copyright © 2025 Texere Publishing Limited (trading as Conexiant), with registered number 08113419 whose registered office is at Booths No. 1, Booths Park, Chelford Road, Knutsford, England, WA16 8GS.

Disclaimer

The Ophthalmologist website is intended solely for the eyes of healthcare professionals. Please confirm below:[ FALSE]

Thank you for reading
The Ophthalmologist

To continue reading, either register for a free account below or login.

Register or Login